
What is mitral valve stenosis?
Mitral valve stenosis is a narrowing of the heart's mitral valve. The diseased valve doesn't open fully, partly blocking blood flow into the main pumping chamber of your heart.

The MITRIS RESILIA valve is designed for people diagnosed with mitral valve disease. Below are two common types of mitral valve disease. There are additional forms of mitral valve disease, and your doctor can discuss your diagnosis in more detail with you.

Mitral valve stenosis is a narrowing of the heart's mitral valve. The diseased valve doesn't open fully, partly blocking blood flow into the main pumping chamber of your heart.

Regurgitation happens when your valve’s leaflets don’t close all the way. Blood may flow backward through the valve, making the heart work harder. Mitral valve regurgitation can happen suddenly or over time. This condition is also called mitral insufficiency or "leaky" mitral valve.
Your doctor will carefully assess your case and discuss your options. Ask your doctor if you have any questions about this process.
Repair may be possible, based on the surgeon's evaluation.
Replacement is an option once it is clear that repair is not a viable option for you. There are different ways to replace a valve. Your doctor will carefully assess your individual health condition and discuss the best option for you.
The MITRIS RESILIA mitral valve is a replacement heart valve.

The unique design of the MITRIS RESILIA valve mimics the shape of the heart's natural mitral valve opening, allowing it to handle the high pressure of blood flowing through the mitral valve.
The MITRIS RESILIA valve is made with innovative tissue technology that reduces calcium build up on the valve.1 This technology preserves and protects the tissue, allowing the valve to potentially last longer than conventional bioprosthetic valves.*
The MITRIS RESILIA valve is radiopaque so that your doctor can see it under X-ray for potential future interventions. Talk to your doctor about your risks of needing future interventions and how the MITRIS RESILIA valve may help.
*RESILIA tissue has not been studied for long-term results in patients.
Valvular heart disease (VHD) occurs when one or more valves in your heart is damaged or diseased and does not work properly.

RESILIA tissue is the newest heart valve tissue technology from Edwards Lifesciences. We have been innovating on bovine pericardial (cow) tissue technology since the 1980s. Our goal is to make more durable, longer lasting artificial heart valves. We are currently in the 4th generation of our tissue treatment process, which has anti-calcification technology. By slowing down the calcium buildup of our valves, we hope they will last longer in patients.

There is a body of evidence that shows that RESILIA tissue technology lessens the amount of calcium build-up in patients as well as ongoing studies to demonstrate this evidence long-term.


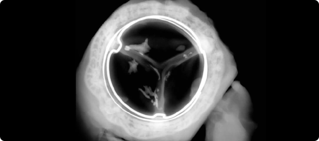
Explanted valves from an animal study1 showing less calcium build-up in the valve with RESILIA tissue compared to the valve with regular tissue.*
*RESILIA tissue has not been studied for long-term results in patients.

We are committed to providing the highest levels of customer service to help our patients improve their quality of life. For any questions, please contact the Edwards Patient Support Center.
Give us a call
Send us an email
Indications: For use in replacement of native or prosthetic aortic heart valves.
Contraindications (Who should not receive): There are no known contraindications with the use of the INSPIRIS RESILIA aortic valve.
Complications and Side Effects: The risks with the INSPIRIS RESILIA aortic valve are similar to risks with other heart valves, and include the following:
These could lead to the need for reoperation to replace the valve, permanent disability, or death.
This is not a complete list of all the risks that can occur with heart valve surgery. Your doctor can give you more information about these and other risks. This information is not a substitute for talking with your doctor.
Indications: For use in replacement of native or prosthetic mitral heart valves.
Contraindications (Who should not receive): There are no known contraindications with the use of the MITRIS RESILIA mitral valve.
Complications and Side Effects: The risks with the MITRIS RESILIA mitral valve are similar to risks with other heart valves, and include the following:
These could lead to the need for reoperation to replace the valve, permanent disability, or death.
This is not a complete list of all the risks that can occur with heart valve surgery. Your doctor can give you more information about these and other risks. This information is not a substitute for talking with your doctor.
Indications: For use in replacement of native or prosthetic aortic heart valves and the associated repair and replacement of a damaged or diseased ascending aorta.
Contraindications (Who should not receive): There are no known contraindications with the use of the KONECT RESILIA aortic valve conduit.
Complications and Side Effects: The risks with the KONECT RESILIA aortic valve conduit are similar to risks with other heart valves, and include the following:
These could lead to the need for reoperation to replace the valve, permanent disability, or death.
This is not a complete list of all the risks that can occur with heart valve surgery. Your doctor can give you more information about these and other risks. This information is not a substitute for talking with your doctor.
CAUTION: Federal (United States) law restricts these devices to sale by or on the order of a physician.